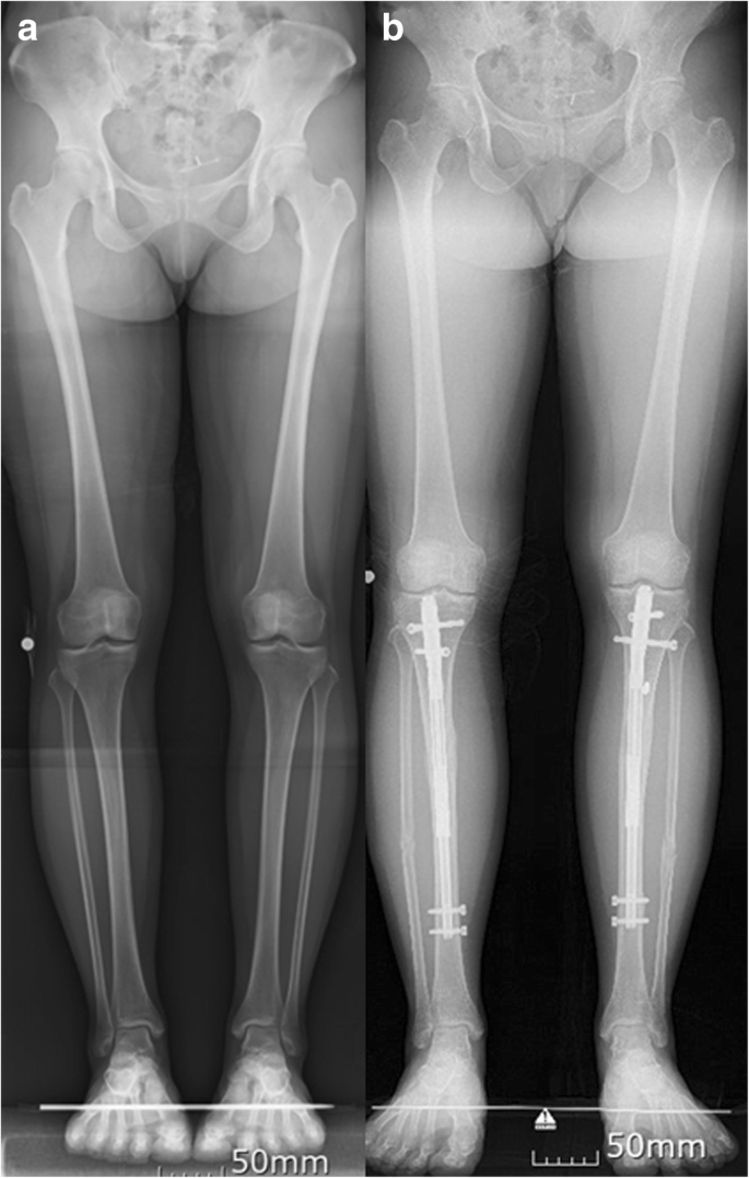
Cosmetic Limb Lengthening India - I undergone a limb lengthening surgery myself, i searched many doctors that tim.